Красноярские хирурги прооперировали пациентку с редким синдромом Уилки

Войдите, чтобы добавить в закладки

07.04.2026 14:32
297
1

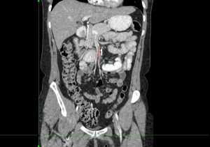
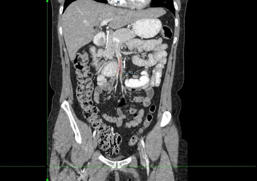
Врачи хирургического отделения № 3 Красноярской межрайонной клинической больницы № 20 имени И. С. Берзона прооперировали 49-летнюю пациентку с редким заболеванием - синдромом Уилки. В мировой литературе описано около 500 таких случаев. Женщина долгое время не могла нормально питаться и сильно похудела.

Хирурги выбрали щадящий метод: выполнена модифицированная операция Стронга в сочетании со скелетерованием и мобилизацией верхней брыжеечной артерии. Это позволило снизить травматичность и сохранить естественную анатомию.

Операция длилась три часа. Уже на третьи сутки женщина начала самостоятельно есть без болей. На десятые сутки её выписали домой в удовлетворительном состоянии.

«Качество жизни пациентки сильно страдало. Мы выбрали менее травматичный вариант вмешательства. Результат превзошёл ожидания», - отметил заведующий отделением Александр Толстиков.

«В 20-й больнице есть всё необходимое, чтобы продолжать такие операции. Полученный опыт поможет другим пациентам с подобными заболеваниями», – подчеркнул заместитель главного врача по хирургии Сергей Борисов. 

Комментарии (1)

Спасибо врачам и дай Бог здоровья пациентке.

Пожаловаться

Войдите, чтобы пожаловаться

Напишите свой комментарий

Гость (премодерация)

Войти

Войдите, чтобы добавить фото